Dental Implant Services
Request Call
Hero Request Form
Why Choose Staffordshire Dental Group?
Choosing the right dentist is a crucial decision that can significantly impact your oral health. At Staffordshire Dental Group, we are proud to be recognized as New Jersey's Top Dentist, a testament to our commitment to providing high-quality dental care. We're here to make you smile!
We offer dental care catered to your needs. Our team is compassionate, and we have a full range of restorative and cosmetic options for the whole family. Plus, we accept major insurance plans, ensuring our services are accessible to all.
Schedule an appointment with Staffordshire Dental Group today. Get in touch now!
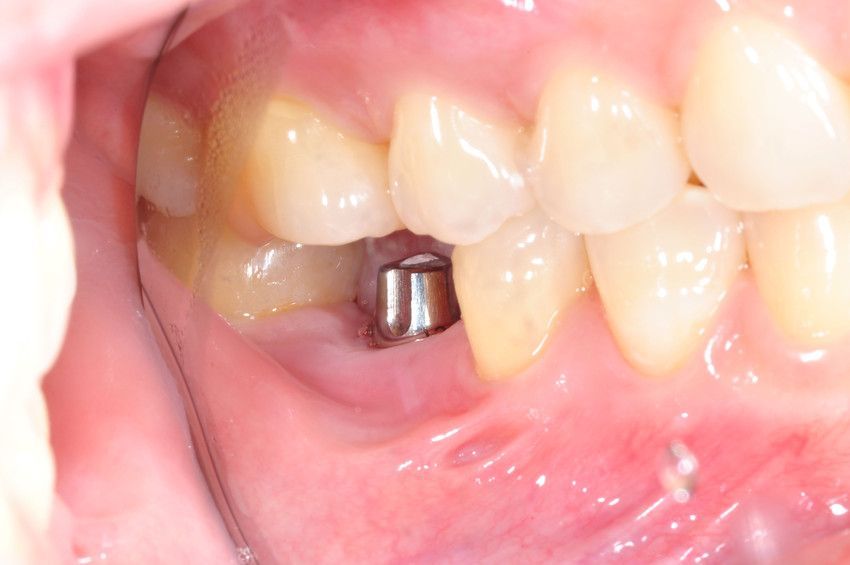
Revive Your Smile With Dental Implants
We understand the importance of a beautiful smile at Staffordshire Dental Group P.A. Our dental implant services are designed to restore your confidence and enhance your appearance. Unlike dentures or bridges, an implant is secured directly to the jaw for a more permanent solution to tooth loss.
Essentially, with a dental implant, we secure a bridge, tooth, or denture to a titanium screw. The screw is implanted into the bone. The bone then heals, and your new tooth can work and function like the rest of your teeth. Care is simple. Just follow the specific instructions from your dentist.
With over 40 years of experience, we are committed to providing you with the highest standard of dental care. Don't let missing teeth hold you back. Reach out to us and let us help you regain your radiant smile.
Why Choose Dental Implants?
Dental implants are a reliable and effective solution for tooth replacement. Here's why you should consider this service:
- Local anesthesia or IV sedation
- Natural appearance and function, boosting your self-esteem and restoring your smile
- Multiple teeth can be replaced for a comprehensive solution
- Healing process in just two to six months to ensure the jaw bone can anchor the implant
- Permanently fixed in the mouth for greater stability compared to dentures
- Easy maintenance with regular flossing and brushing to prevent implant failure
Are dental implants a good choice for you?
Contact our team at Staffordshire Dental Group today for a consultation. We are happy to work with your insurance company!
Choose New Jersey's Top Dentist
Choosing Staffordshire Dental Group means choosing a practice that puts your needs first. We are a local, family-owned business that has been serving the Voorhees Township, NJ community since 1983. Our dedication to compassionate, patient-centered care has earned us the title of New Jersey's Top Dentist.
We offer a variety of dental services, including emergency visits, and we work with major insurance companies to ensure your dental care is affordable. With evening hours available, we strive to accommodate your busy schedule.
Don't wait to restore your smile. Get in touch with us now!
Get in Touch for Dental Implants
Are you ready to regain your beautiful smile? Contact Staffordshire Dental Group today. Our team of experienced professionals is ready to assist you. Whether you're interested in dental implants or any of our other services, we're here to help. Contact us now to restore your smile!





Share On: